Icon Créer jeu Créer jeu

OJO MITAD POSTERIOR

Carte Interactive

(112)
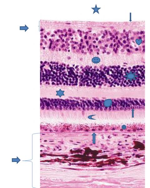
En la mitad posterior del ojo se pueden identificar las capas principales túnicas oculares, y encontramos de fuera hacia adentro a la esclerótica, en medio a la coides y a la retina en su porción más interna. El estudio de esta porción del ojo te permitirá entender su relación con problemas relacionados con la visión como la miopía e hipermetropía (Esclera), el melanoma de la coroides que es un tumor primario frecuente de la coroides y retinopatías de diferente naturaleza. En particular los problemas de la retina cobram mucha relevancia debido al papel fundamental debido a que es una estructura muy sensible y las alteraciones en sus componentes
estructurales llevar a la pérdida de la visión. En este ejercicio repasaras tus conocimientos de las capas de la retina. ¿te atrevés a identificarlas? ¡Adelante!

Téléchargez la version pour jouer sur papier

164 fois fait

Créé par

Mexico

Top 10 résultats

  1. 1
    01:26
    temps
    100
    but
  2. 2
    01:29
    temps
    100
    but
  3. 3
    02:00
    temps
    100
    but
  4. 4
    02:12
    temps
    100
    but
  5. 5
    02:15
    temps
    100
    but
  6. 6
    02:15
    temps
    100
    but
  7. 7
    02:15
    temps
    100
    but
  8. 8
    02:23
    temps
    100
    but
  9. 9
    02:26
    temps
    100
    but
  10. 10
    02:31
    temps
    100
    but
Voulez-vous apparaître dans le Top 10 de ce jeu? pour vous identifier.
Créez votre propre jeu gratuite à partir de notre créateur de jeu
Affrontez vos amis pour voir qui obtient le meilleur score dans ce jeu

Top Jeux

  1. temps
    but
  1. temps
    but
temps
but
temps
but
 
game-icon

OJO MITAD POSTERIORVersion en ligne

En la mitad posterior del ojo se pueden identificar las capas principales túnicas oculares, y encontramos de fuera hacia adentro a la esclerótica, en medio a la coides y a la retina en su porción más interna. El estudio de esta porción del ojo te permitirá entender su relación con problemas relacionados con la visión como la miopía e hipermetropía (Esclera), el melanoma de la coroides que es un tumor primario frecuente de la coroides y retinopatías de diferente naturaleza. En particular los problemas de la retina cobram mucha relevancia debido al papel fundamental debido a que es una estructura muy sensible y las alteraciones en sus componentes estructurales llevar a la pérdida de la visión. En este ejercicio repasaras tus conocimientos de las capas de la retina. ¿te atrevés a identificarlas? ¡Adelante!

par JORGE LIMON
1 2 3 4 5 6 7 8 9 10 11 12
1
2
3
4
5
6
7
8
9
10
11
12